Kolejny pomysł na usprawnienie ochrony zdrowia jamy ustnej wśród dzieci może skutkować likwidacją wielu gabinetów stomatologicznych zlokalizowanych w szkołach. O poważnych zagrożeniach, wynikających z planowanych zmian legislacyjnych, rozmawiamy z Łukaszem Kowalskim, prezesem zarządu i dyrektorem zarządzającym grupy kapitałowej Star Dental Group.
- Zmiany w ustawie o opiece zdrowotnej nad uczniami mogą utrudnić funkcjonowanie szkolnych gabinetów stomatologicznych
- Zaproponowano m.in., aby opiekunowie prawni uczniów byli obecni podczas zabiegów higienizacyjnych realizowanych w szkolnych gabinetach stomatologicznych
- Eksperci obawiają się, że dodatkowe formalności mogą zdecydowanie ograniczyć skalę działań profilaktycznych i higienizacyjnych związanych z opieką stomatologiczną nad dziećmi
Mirosław Stańczyk, infodent24.pl: Brzmi jak ponura farsa, ale nasuwa się przypuszczenie, że ktoś ma zamiar wybić szkolnym gabinetom stomatologicznym zęby. Chodzi o niepozorną zmianę w ustawie o opiece zdrowotnej nad uczniami, która - jeśli weszłaby w życie – praktycznie wyeliminuje zabiegi higienizacyjne ze świadczeń zagwarantowanych dzieciom i młodzieży w szkołach.
Są powody do obaw?
Łukasz Kowalski, prezes zarządu i dyrektor zarządzający grupy kapitałowej Star Dental Group*: Zdecydowanie są. Faktem jest, że projektowane modyfikacje w prawie nie ograniczają koszyka świadczeń gwarantowanych, nie zmieniają też zasad finansowania procedur realizowanych przez lekarzy dentystów w szkolnych gabinetach stomatologicznych. Chodzi o to, że zaproponowano, aby nie tylko na leczenie, ale także na zabiegi higienizacyjne wraz z dziećmi zgłaszali się ich opiekunowie prawni. Taki wymóg nie istnieje w żadnym z krajów UE , jest niepotrzebny i ogranicza dostęp do profilaktyki dla ogromnej grupy uczniów.
Ta, zdawałoby się, niepozorna zmiana wypacza ideę funkcjonowania stomatologów w szkołach.
Mirosław Stańczyk: Coś tutaj najwyraźniej się nie posklejało. W pierwszym zdaniu, uzasadniającym wymóg dokonania zmian ustawowych, widnieje sformułowanie mówiące o „konieczności poprawy dostępności profilaktycznej opieki zdrowotnej w szkole”. Ważne nazwiska w tym państwie bezustannie odmieniają przez wszystkie przypadki dwa wyrazy „profilaktyka zdrowotna”.
Propozycja Ministerstwa Zdrowia to klasyczne wylewanie dziecka z kąpielą, chociaż dla niewtajemniczonych wydawać by się mogło, że przepis wprowadzający wymóg obecności rodzica w gabinecie, gdy jego dziecku wykonywany jest zabieg higienizacyjny, to zmiana – przynajmniej na papierze - zwiększająca poziom ochrony praw pacjenta.
Wszyscy wiemy, że lepiej zapobiegać niż leczyć. Dlatego trzeba uczyć higieny jamy ustnej. To jedna z przyczyn, dla których Senat ogłosił 2025 rokiem edukacji zdrowotnej i profilaktyki.
Senator Agnieszka Gorgoń-Komor przewodniczącej Parlamentarnego Zespołu ds. Badań Naukowych i Innowacji w Ochronie Zdrowia w Senacie
Łukasz Kowalski: Teoretycznie tak, w praktyce doszłoby pod tym względem do nic nie znaczącej zmiany. Dlaczego? Trudno spodziewać się, aby w trakcie nieinwazyjnych przecież zabiegów, jakimi są procedury higienizacyjne np. czyszczenia zębów – zaistniały okoliczności wymagające podejmowania przez rodziców pilnych decyzji. Dotychczas takie obwarowania nie były potrzebne.
Jako Agenci Uśmiechu dysponujemy wieloletnim doświadczeniem, sprawdzonym know-how oraz wysokimi standardami pracy, które nasz personel z powodzeniem realizuje w różnych lokalizacjach w całej Polsce. Dzięki temu zapewniamy dzieciom i ich opiekunom profesjonalną i bezpieczną opiekę stomatologiczną, niezależnie od miejsca świadczenia usług. Cieszymy się także bardzo pozytywną opinią wśród dzieci, ich opiekunów, dyrektorów szkół oraz włodarzy miast, którzy doceniają jakość naszej pracy i zaangażowanie w profilaktykę zdrowia jamy ustnej.
Tak szczerze, to tego typu sytuacje są nieco wydumane. Mówimy o osobach wykonujących zawód zaufania publicznego, które realizują procedury medyczne nie stanowiące jakiegokolwiek zagrożenia dla zdrowia pacjenta.
Jeśli zakwestionujemy zaufanie wobec lekarzy w tak prostych kwestiach – to zdecydowanie ograniczymy obszar najbardziej efektywnych form opieki stomatologicznej nad dziećmi.
Zasadne jest przypisanie wszystkich szkół do gabinetów stomatologicznych, żeby dzieci miały się gdzie leczyć. Każde dziecko musiałoby w ciągu pół roku przejść przez taki gabinet stomatologiczny, chociażby zrobić badania i higienizację. Następnie już rodzice zadecydują co dalej robić.
Poseł lekarz dentysta Radosław Lubczyk
Mirosław Stańczyk: Czy funkcjonowanie gabinetów stomatologicznych w nowej formule organizacyjnej będzie miało jakikolwiek sens?
Łukasz Kowalski: W każdym razie dużo mniejszy niż obecnie. Idea tworzenia tego typu placówek oparta była na spójnym programie dbałości o zdrowie jamy ustnej wśród uczniów. Musimy skoncentrować się na stosunkowo taniej, a przy tym najskuteczniejszej profilaktyce i higienizacji jamy ustnej. Nie ma innej drogi. W przeciwnym razie będziemy skazani na porażkę. W Polsce 93 procent uczniów jest dotkniętych próchnicą. Nie ma tylu rąk dentystycznych, aby wyleczyć wszystkie ubytki. Tylko profilaktyka, czyli powstrzymanie powstawania nowych ognisk próchnicy, poprawi za kilka lat stan zdrowia dzieci, a później dorosłego społeczeństwa.
Polacy o niskim poziomie wiedzy o zdrowiu generują prawie trzykrotnie wyższe koszty opieki zdrowotnej - ok. 10,4 tys. zł rocznie na osobę. Szczególnie duża skala oszczędności występuje w przypadku zdrowia jamy ustnej. Programy profilaktyczne i higienizacyjne ,skierowane do grup o niższych dochodach, to oszczędność na poziomie 8,5 mld zł rocznie, czyli niemal dwa razy więcej niż w przypadku programów w innych obszarach ochrony zdrowia.
Dane z raportu Haleon Health Inclusivity Index z listopada 2025 r.
Mirosław Stańczyk: Wychodzi na to, że Ministerstwo Zdrowia zaprzecza swojemu pryncypium. Mógłbym całymi minutami wyliczać programy profilaktyczne, do uczestnictwa w których namawiają obywateli animatorzy polityki zdrowotnej. Nikt chyba nie wątpi, że tworzenie dodatkowych restrykcji w korzystaniu z opieki stomatologicznej oddala nas jeszcze bardziej od spełnienia się nośnego hasła „Dzieciństwo bez próchnicy”.
Może jednak ktoś mądry - w sposób nieoczywisty dla statystycznego Kowalskiego – oszacował, że wprowadzenie wymogu obecności opiekunów dzieci w trakcie zabiegów higienizacyjnych nie będzie miało istotnego wpływu na frekwencję uczniów w szkolnych gabinetach stomatologicznych. Jak to wygląda na pierwszej linii frontu?
Jak mamy walczyć z próchnicą, skoro utrudniamy dostęp do leczenia i profilaktyki? Jak mamy edukować dzieci i rodziców, skoro wprowadzamy bariery, które zniechęcają do korzystania z opieki stomatologicznej?
Paweł Barucha wiceprezes Naczelnej Rady Lekarskiej
Łukasz Kowalski: Systematyczna higienizacja ratuje zęby setkom tysięcy dzieci, co do tego nie mamy żadnych wątpliwości. Funkcjonowanie szkolnych gabinetów stomatologicznych być może nie jest najistotniejsze z perspektywy rodziców, którzy mają wystarczające zasoby finansowe i dużo wolnego czasu. Te dwa warunki muszą być bezwzględnie spełnione, aby pociechy mogły korzystać z usług lecznic stomatologicznych oferujących kompleksowe leczenie poza NFZ.
Codzienność tak nie wygląda. Mamy dobry ogląd sytuacji naszych podopiecznych. Rodzice spłacający kredyty, często pracujący na kilku etatach, matki nierzadko samotnie wychowujące dzieci, dziadkowie opiekujący się na co dzień wnuczętami, rodziny dysfunkcyjne, w których nikt nie myśli w jakim stanie znajdują się zęby najmłodszych domowników.
To opis bliższy regule niż wyjątkowi.
Świadomość w zakresie zasad dbania o zęby wśród dzieci, młodzieży i ich opiekunów jest stosunkowo wysoka. Problem w tym, że to przestrzeń pomiędzy teorią, a praktyką wyznacza stan zaniedbań
Prof. dr hab. n. med. Dorota Olczak-Kowalczyk, konsultant krajowa w dziedzinie stomatologii dziecięcej
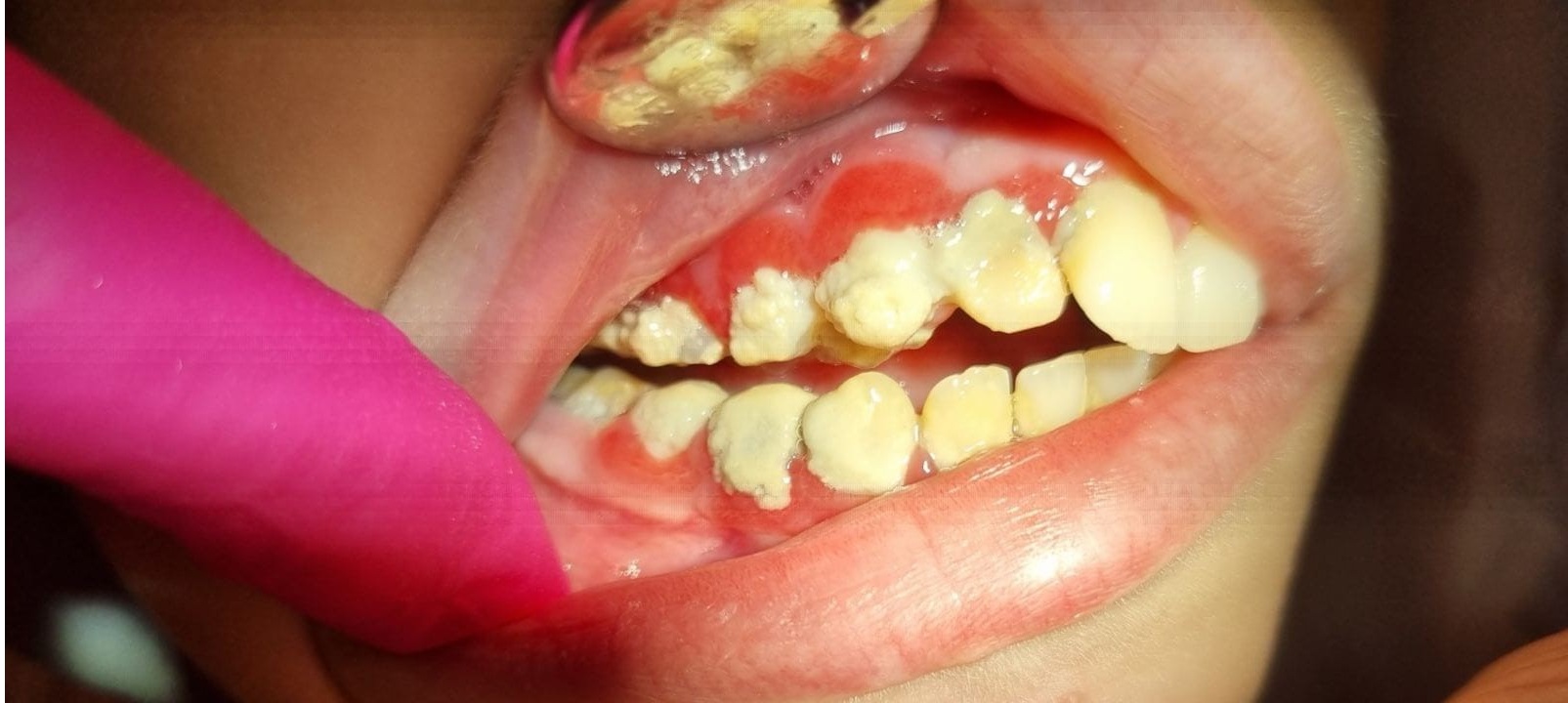
Zapadła mi w pamięć taka oto sytuacja. Jedenastolatek nie mógł odnaleźć się w społeczności uczniowskiej, był wycofany, zalękniony. Trafił do jednego z naszych gabinetów na rutynowe badania kontrolne i kompleksową higienizację. Ta była pilną koniecznością. Proszę mi wierzyć, że nawet dla doświadczonych lekarzy to co ujrzeli było niemałym zaskoczeniem. Skala nagromadzenia kamienia nazębnego przerażała. Nikt wcześniej nie pokazał mu jak myć zęby i że jest to ważne.
Uzębienie chłopca przed zabiegami higienizacyjnymi
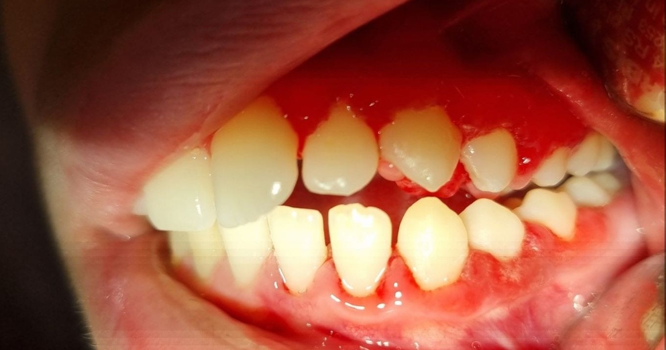
Dzięki pracy specjalistów udało się uśmiechowi dziecka przywrócić pożądany blask, a przede wszystkim zadbać o zdrowie chłopca. Okazuje się, że wnieśliśmy też wiele dobrego do samoakceptacji dziecka.
Po dwóch tygodniach nastolatek nieoczekiwanie zawitał do gabinetu stomatologicznego, tylko po to, aby podzielić się radosną nowiną: że już umie zadbać o swoje zęby i jest z tego dumny.
Uzębienie chłopca po zabiegach higienizacyjnych
Dla tych, którzy leczą dzieci nie ma większej nagrody nad tak szczerą reakcję pacjenta z wypisaną niekłamaną radością na twarzy.
Wówczas to dowiedzieliśmy się, że chłopca wychowuje babcia, która – chociaż się stara – po prostu nie radzi sobie z licznymi obowiązkami opiekunki dziecka.
Takich pacjentów mamy setki, a pewnie tysiące. Faktem jest, że nie każdy spośród nich był bohaterem spektakularnych metamorfoz. Niezależnie od konkretnych potrzeb każde dziecko otrzymuje w szkolnym gabinecie stomatologicznym bezpłatną szansę na piękny uśmiech i zdrową przyszłość.
Wymóg obecności rodzica w trakcie pobytu dziecka w gabinecie stomatologicznym może zdecydowanie utrudnić dostęp najmłodszym do bezpłatnej opieki stomatologicznej, a i tak jest on bardzo ograniczony. Lekarze dentyści zasługują na większe zaufanie
Prof. Marzena Dominiak, prezydent Polskiego Towarzystwa Stomatologicznego.
Mirosław Stańczyk: Po planowanych zmianach legislacyjnych tych szans może być zdecydowanie mniej i nie będą tak cenne jak dotychczas. Na każdy zabieg higienizacyjny młody pacjent będzie musiał przybyć z opiekunem. Wielu nie przybędzie.
To tylko część ponurej prawdy, bo równie źle wróży zamysł wprowadzenia obligatoryjnych, pisemnych zgód na realizowanie wszystkich zabiegów w gabinecie szkolnym. Domniemana zgoda dotyczyłaby tylko wizyt kontrolnych.
Dodajmy zgoda, której odnowienie będzie wymagane każdego roku szkolnego, chociaż dzisiaj taka zgoda funkcjonuje do odwołania.
Łukasz Kowalski: Szkolne gabinety miały ułatwić dostęp do profesjonalnej opieki stomatologicznej, powstały po to, aby popsutych zębów było jak najmniej, żeby nie trzeba było później ich leczyć kanałowo, wyrywać i raz za razem stosować protez całkowitych.
Dobrze byłoby rozróżnić ochronę praw pacjenta od mnożenia formalności. Powtórzę raz jeszcze - dodatkowymi zgodami rozwiązujemy wyimaginowany problem. Zwiększając pozorną kontrolę nad przebiegiem bezinwazyjnych przecież procedur - zgubimy ideę gabinetów szkolnych, które powołane zostały właśnie po to, aby systemowo, w całej populacji uczniów, bez względu na zamożność rodziców sprawować opiekę.
Odnoszę wrażenie że nie wie prawica co czyni lewica. Z jednej strony Ministerstwo Zdrowia prze do wyższego poziomu samodzielności higienistek stomatologicznych, w działaniach profilaktycznych. Świadczy o tym dość nisko ustawiona w ustawie o niektórych zawodach medycznych poprzeczka określająca samodzielność w wykonywaniu procedur medycznych. Jednocześnie resort zdrowia nie dowierza, że lekarze dentyści bez nadzoru rodziców należycie pokierują zabiegami higienizacyjnymi realizowanymi w szkolnych gabinetach stomatologicznych .
Spójność tworzonych rozwiązań prawnych jest wysoce iluzoryczna.
Polski lekarz dentysta nie tylko chce, ale i w zdecydowanej większości leczy dzieci, (tak deklaruje aż 94 proc. ankietowanych). Ci co robią to bez warunków wstępnych wyjaśniają, że czynią tak, bo takie jest powołanie lekarza dentysty (sześciu na dziecięciu pytanych), dodatkowo czterech na dziesięciu przyznaje, że dziecko to wdzięczny pacjent.
ankieta infodent24.pl
- Stanowisko Konfederacji Lewiatan do projektu ustawy o zmianie ustawy o opiece zdrowotnej nad uczniami oraz niektórych innych ustaw
- Gabinety stomatologiczne w szkołach nie przetrwają. Stanowisko NRL
* Łukasz Kowalski
- Prezes zarządu i dyrektor zarządzający w Star Dental Group
- Ekspert w dziedzinie stomatologii, związany z branżą od kilkunastu lat.
- Posiada doświadczenie zarówno w stomatologii komercyjnej, jak i w pracy w ramach Narodowego Funduszu Zdrowia
- Absolwent Gdańskiego Uniwersytetu Medycznego, kierunku Zarządzania i EMBA w Ochronie Zdrowia.

2 miesięcy temu
52









English (US) ·
Polish (PL) ·